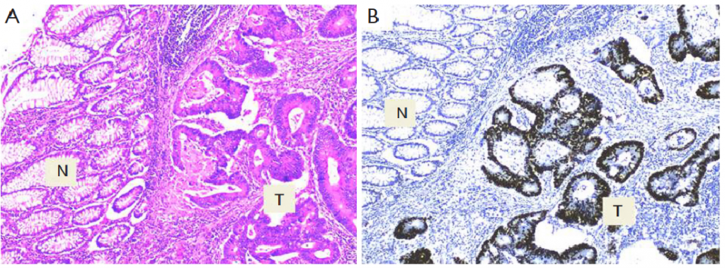
The role of XPO1 on colorectal cancer progression
Colorectal cancer (CRC) is a major health dilemma, rating as the third most frequently diagnosed cancer with higher mortality worldwide. The development of CRC is a complex process based on the accumulation of genetic mutations such as tumor suppressor genes, which may lead to disruption of cellular homeostasis. Accumulated evidence suggests that both tumor suppressor genes and nuclear exporter protein, exportin 1 (XPO1), are working in reciprocal manner. The XPO1 may enhance cancer progression including cancer invasion and metastasis. Accordingly, the present study aimed to evaluate the function of XPO1 expression in CRC clinicopathological features.
